Прорив на Тернопільщині: лікарі вперше провели високотехнологічне втручання в артерію
У Тернопільській обласній клінічній лікарні вперше в області провели високотехнологічну процедуру ротаційну атеректомію.
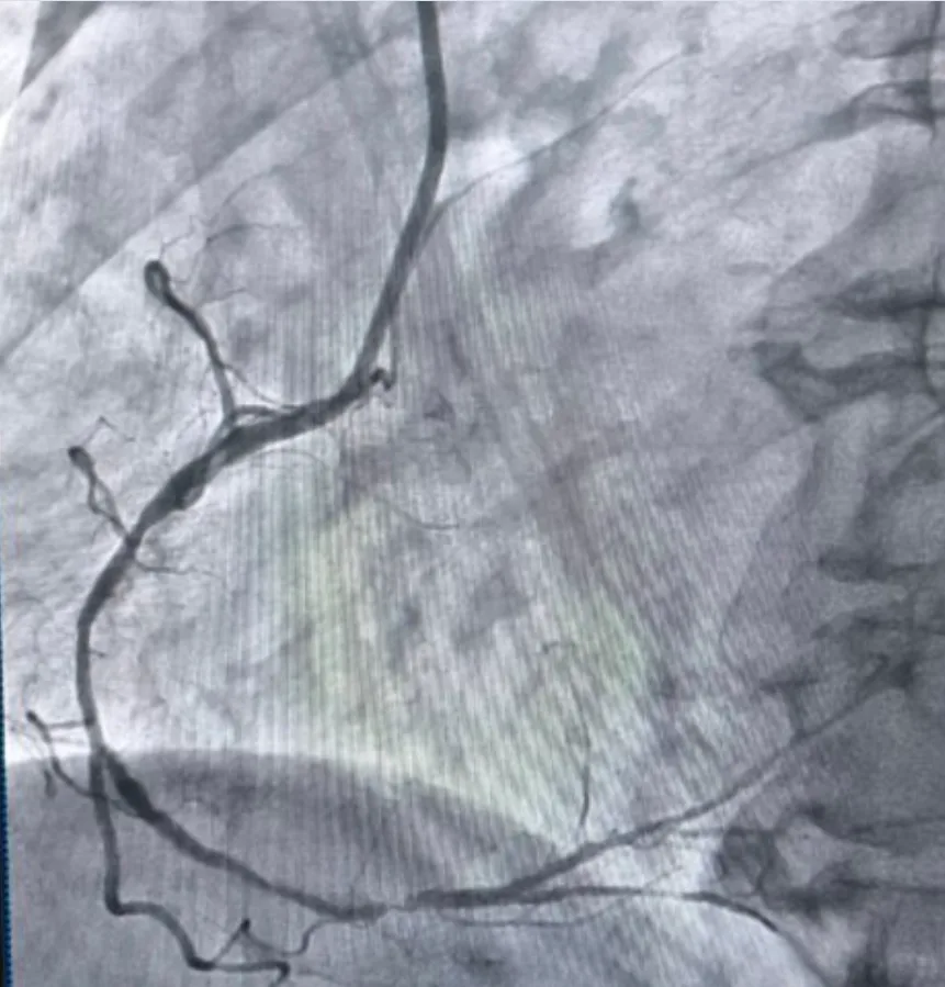
Йдеться про складне втручання, яке застосовується у випадках вираженого кальцинозу коронарних артерій, коли стандартні методи не дають результату, пише “Перший Онлайн”.
За словами завідувача відділенням інтервенційної радіології, кардіології та реперфузійної терапії Богдана Маслія, у пацієнтки діагностували значне звуження правої коронарної артерії. Розширити її традиційним способом – шляхом роздування балона, не вдалося, навіть із використанням балона високого тиску до 25 атмосфер (це приблизно у десять разів більше, ніж тиск в автомобільному колесі).
У таких ситуаціях на допомогу приходить ротаблятор – спеціальний пристрій із буром, покритим діамантовим напиленням. Він дозволяє «модифікувати» кальциновану атеросклеротичну бляшку, фактично шліфуючи її та відновлюючи можливість для подальшого стентування судини. Саме таким методом лікарям вдалося ліквідувати перешкоду в артерії та успішно імплантувати стенти.
«Це втручання стало важливим кроком для нашої лікарні та всієї області. Ротаційна атеректомія застосовується у найскладніших випадках кальцинованих уражень коронарних артерій, коли стандартна ангіопластика неефективна. Виконання такої процедури означає, що пацієнти Тернопільщини можуть отримати сучасну високоспеціалізовану допомогу без необхідності їхати в інші регіони», – наголосив Богдан Маслій.
Останні новини:
- Ощадбанк поширює безбар’єрність: у Тернополі пройшли навчання нових уповноважених комунальних підприємств
- У Тернополі освятили ікони сьомої творчої майстерні «Під покровом Богородиці»
- Тернопільщина посилює співпрацю з європейськими партнерами
- Брав гроші за ремонти й зникав: 20-річний тернополянин обдурив людей та пішов у ЗСУ, аби втекти від відповідальності